abc tree service andes ny
Tree Service in Andes NY. Call us at 888-329-9197 for a free estimate on your tree trimming project.
There Is No Water A Climate Alarm As Lake In Chile Turns To A Desert
With over 20 years of experience the professionals at ABC Residential Tree Service can take care of all your tree care needs.
. 3300 COUNTY HIGHWAY 1 ANDES NY 13731-2306 Phone. Each of ABC Professionals. 3300 COUNTY HIGHWAY 1Andes NY 13731-2306845 224-9637.
Out of Service Date. ABC Tree Service in Jefferson. Company USDOT number is 3098981.
ABC TREE EXPERTS. Name A - Z Sponsored Links. Tree Service Landscaping Lawn Services Sod.
845 224-9637 3300 County Highway 1 Andes NY 13731-2306 US. 132 Hollow Oak Dr. See the top reviewed local tree services in Andes NY on Houzz.
Abc Tree Expertss United States DOT Department of. Search 20 Andes NY tree services to find the best tree service professional for your project. Local insured tree cutting service -stump grinding -storm damage clean up -24 hour emergency service -Pruning -Tree removal -Tree Topping Additional Services.
Division 77 - ABC VA Ronnie Collins. Our teams have extensive skills training and equipment. Jefferson AlabamaUnited-states - 35022.
OurTree Service Andeswill take care of whether you need a tree removal service to decorate your property or for a construction project. ABC TREE EXPERTS is a freight shipping Trucking Company from ANDES NY. We offer tree removal tree trimming tree pruning stump removal.
The well-being and safety of everyone at ABC Professional Tree Services Inc including our clients and colleagues outside the company is of vital importance to us. Before you hire a tree service. Our tree service experts are ready to start on your project today.
Abc Tree Experts is a Carrier truck company located in Andes NY. Careers At ABC Professional Tree. 845 224-9637 Mailing Address.
Services to Buildings and Dwellings Administrative and Support Services Administrative and Support and Waste Management and Remediation Services.
Potential Health And Economic Impacts Of Dexamethasone Treatment For Patients With Covid 19 Nature Communications
Outside Business Journal The Home Of Outdoor Industry News
Abc Tree Landscaping Services Tree Services Landscaping And Maintenance
Abc Tree Experts Usdot 3098981 In Andes Ny 13731 2306
Jazz Power Initiative Jazz Power
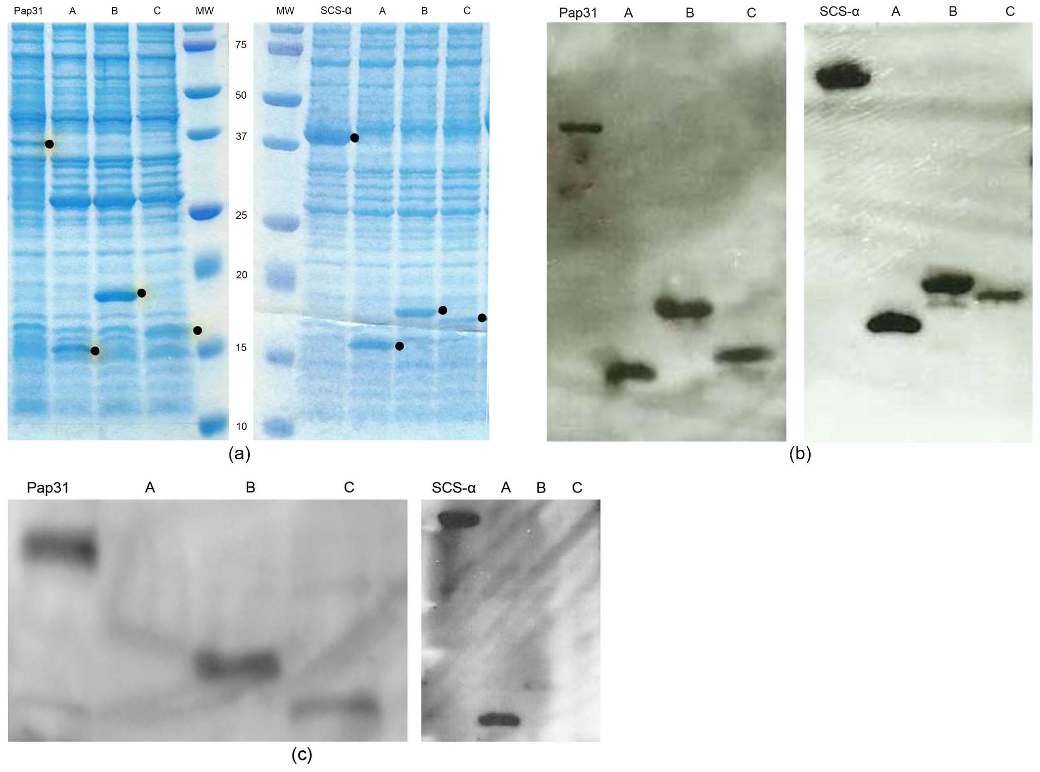
Pathogens Free Full Text Immunogenic Peptides From Pap31 And Scs A Of Bartonella Bacilliformis One Step Closer To A Rapid Diagnostic Tool For Carrion S Disease Html
Catskill Conquest Rally Autorun
Abc Tree Service Tree Service Tree Removal In Central Square Ny Cicero Ny Clay Ny West Monroe Ny Hastings Ny Parish Ny Mexico Ny Pennellville Ny Constantia Ny North Syracuse Ny
Sheriff Honors Superstars For Saving Man S Life Local News Thedailystar Com
Aidan Fox Arborist Abc Tree Experts Linkedin
Services Abc Tree Landscaping Services
Abc Tree Landscaping Services Tree Services Landscaping And Maintenance


/cloudfront-us-east-1.images.arcpublishing.com/gray/WCWG7ZA5OZGEVHZWRK2ILRC57E.png)